私はおこなわない治療法です。 マウスピース矯正は簡単に説明するとマウスピースを少しずらした物を装着し、 マウスピース素材の弾力性、復元力で歯を排列させます。 良い事は歯科医が矯正歯科に関する特別な知識、診断能力が必要ないことです。 矯正歯科医は卒業後の教育、修練で成ります。これはとても長い期間を要します。 矯正治療は年単位の修業が必要になるからです。“4年程度で中学卒業だな”とよく恩師が言っていました。 私もそう思います。 つい先日の事、大学病院時代に他の科でとても素晴らしい技術を持っている歯科医からラインが来ました。 これでいいの??です。

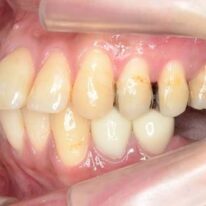
どうみても上顎が第一小臼歯を抜歯する必要があります。ところが抜歯して治療するほどの能力がこの矯正法にはありません。ブラケットとワイヤーで矯正治療するほどの能力はありません。そこで歯をディスキング(エナメル質の範囲内で削る)します。歯の幅を小さくする目的でおこないます。その結果、歯は長方形になってしまいます。また期待できるほどの隙間は得られません。
拡大し過ぎたのでしょうね。歯は外側に広がっています。しかし、骨は成長がないのでそれ以上増えません。歯が骨の外に出ていってしまいます。出っ歯になって大臼歯しか噛んでいない。口もとが突出して口ゴボになった可能性もあります。リテーナーをしっかり使用しないと後戻りします。
送信してくれた先生の“これでいいの?” 返事に困りました。
私の診療所ではマウスピース矯正はしません。この結果だと大変なストレスになってしまいます。





