Case No.362
乱杭歯治療例非抜歯(仮)
女性 20代 横浜市鶴見区
治療例 No. 370 ハイレベルな患者様です。
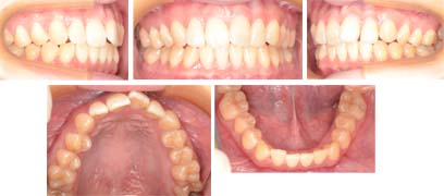
来院時の写真
気になっている点(主訴): 前歯のずれ
矯正歯科医になるべく医局に入局した時に恩師から言われた事です。“患者様がどれほど気にしているかはその人にならなければわからない。君が判断してはいけない” この患者様にとって前歯部のずれは大変大きな問題だったのでしょう。とてもレベルの高い方だと思います。治せるのだから治療しないという事はありません。
治療中の写真
必要な部分にだけ装置を接着しました。前歯のずれは改善しています。患者様は満足されています。できる限りの治療をおこない、ゴールは患者様の満足を得る事だと思っています。
DIAGNOSIS
院長 福井の診断ノート
院長 福井の診断ノート
診断名 :
前歯部叢生
非抜歯リンガルブラケットで治療する事にしました。この程度の叢生ですと約半年ぐらいで改善します。しっかりと保定は必要です。
抜歯部位 : 非抜歯
治療に使用した装置 : リンガルブラケット
この治療に関して考えられるリスク(副作用)
リスクはありません。後戻りしないようにしっかりとリテーナーを装着する事が重要です。
治療期間 : 6か月
※費用については分割払いが可能です。詳しくはこちら
FROM DOCTOR
一覧へ戻る
担当医より

よくある質問
矯正治療の料金